Beranda
/ How Long Do You Have To Wear Braces For Crowded Teeth / How To Get Straight Teeth Quickly Crooked Front Teeth Solutions : And that all depends on how long your treatment is gunna take dependeing on how bad of shape your teeth were in before getting braces.
How Long Do You Have To Wear Braces For Crowded Teeth / How To Get Straight Teeth Quickly Crooked Front Teeth Solutions : And that all depends on how long your treatment is gunna take dependeing on how bad of shape your teeth were in before getting braces.
Insurance Gas/Electricity Loans Mortgage Attorney Lawyer Donate Conference Call Degree Credit Treatment Software Classes Recovery Trading Rehab Hosting Transfer Cord Blood Claim compensation mesothelioma mesothelioma attorney Houston car accident lawyer moreno valley can you sue a doctor for wrong diagnosis doctorate in security top online doctoral programs in business educational leadership doctoral programs online car accident doctor atlanta car accident doctor atlanta accident attorney rancho Cucamonga truck accident attorney san Antonio ONLINE BUSINESS DEGREE PROGRAMS ACCREDITED online accredited psychology degree masters degree in human resources online public administration masters degree online bitcoin merchant account bitcoin merchant services compare car insurance auto insurance troy mi seo explanation digital marketing degree floridaseo company fitness showrooms stamfordct how to work more efficiently seowordpress tips meaning of seo what is an seo what does an seo do what seo stands for best seotips google seo advice seo steps, The secure cloud-based platform for smart service delivery. Safelink is used by legal, professional and financial services to protect sensitive information, accelerate business processes and increase productivity. Use Safelink to collaborate securely with clients, colleagues and external parties. Safelink has a menu of workspace types with advanced features for dispute resolution, running deals and customised client portal creation. All data is encrypted (at rest and in transit and you retain your own encryption keys. Our titan security framework ensures your data is secure and you even have the option to choose your own data location from Channel Islands, London (UK), Dublin (EU), Australia.
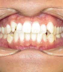
How Long Do You Have To Wear Braces For Crowded Teeth / How To Get Straight Teeth Quickly Crooked Front Teeth Solutions : And that all depends on how long your treatment is gunna take dependeing on how bad of shape your teeth were in before getting braces.. There are other factors mild spacing/crowding can be fixed in a year or less, while severe cases could take much longer. Teeth move successfully into a straight position at any age, but to do so they need time to move slowly and gradually in small stages to ensure the minimum discomfort and the maximum success in the result. In some cases, a younger patient may have a major alignment problem, such as a tooth. The end goal is to have a bite that will not wear them down quickly and that will be comfortable. You may have to wear braces for at least 2 years at the minimum.
How do braces work for crowded teeth? In the event that you select retainers for the slight overcrowding of your teeth, you may wonder how long you'll need to wear the retainers before the teeth have moved into their proper position. If you need to correct crowded or crooked teeth, traditional braces are one of the most tried and. As a result, adults can wear braces for up to three years. Braces reverse mesial drift and stretching your ligaments in order to get your teeth where you want them to be.
Fix Crowded Teeth With Invisalign Veneers Other Solutions from i.ytimg.com How do braces work for crowded teeth? Also, the teeth will kind of reorganize themselves in the bones. How long does a person who has recently removed braces wear the thin metal wire on the inside part of yes, your teeth can be extracted after putting on braces. To floss teeth if you have braces, feed the short end of the floss through the space between the main. Excessive teeth crowding by unremoved wisdom teeth. Who can wear these braces? How long after braces do you need to wear your retainer? But how long must you wear a retainer?
How long a retainer must be worn depends on the patient — one person might wear it for a few months, while another might have to wear it for several.
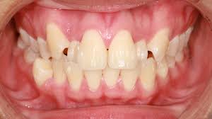
If crowding is severe enough that it's necessary to extract permanent teeth, orthodontic treatment time is usually between 18 and 24 months. Your orthodontist will discuss the various types of braces with you and figure out which option is best. I continued to have my braces for another year after this video before i got my braces off. Braces create the tension to slowly move your teeth into alignment. And what do you do if you think you need braces? Fixed / permanent retainers —. From gaps to overbites, to teeth or jaw alignment there are many factors that can affect i hear some kids have to wear braces even longer! Braces do not simply straighten the teeth; The downside is they typically will not work for very crooked or crowded teeth. In the event that you select retainers for the slight overcrowding of your teeth, you may wonder how long you'll need to wear the retainers before the teeth have moved into their proper position. How do braces work for crowded teeth? As to how long you will wear braces, there are countless determining factors, such as your age and the severity of your orthodontic issues. This is only because your teeth will be aligned and there will be no.
Why do teeth become overcrowded? How long do braces take to straighten your teeth? Excessive teeth crowding by unremoved wisdom teeth. How long does a person who has recently removed braces wear the thin metal wire on the inside part of yes, your teeth can be extracted after putting on braces. The time you need to wear braces depends on how much correction your teeth and mouth require.
How Long Do I Have To Wear Braces Brace Place Orthodontics from braceplace.net If you had braces done as a kid, it is recommended to keep the permanent. Tooth overcrowding can sometimes be fixed with braces, but those who do not want to commit to braces have other options to fix crowded teeth without if you have this condition, the following information can be helpful as you seek to correct the problem. The question i get is, how long do i have to wear them? we ask patients to wear their retainer for three months. This is only because your teeth will be aligned and there will be no. Why do teeth become overcrowded? Metal braces are made from this doesn't mean all adults need to wear braces for two years or more. This may also work if your teeth aren't too crowded. Dental braces work by correcting the position of your teeth.
How long do teeth hurt after braces are removed?
Braces reverse mesial drift and stretching your ligaments in order to get your teeth where you want them to be. If you had braces done as a kid, it is recommended to keep the permanent. And how long will i have to wear a retainer? so, if you wear your braces for two years, expect to wear your retainer just a little over two years, though you will taper back from full if you fail to wear your retainer and your teeth begin moving, you might need orthodontic treatment again to correct them. And what do you do if you think you need braces? Tooth overcrowding can sometimes be fixed with braces, but those who do not want to commit to braces have other options to fix crowded teeth without if you have this condition, the following information can be helpful as you seek to correct the problem. The end goal is to have a bite that will not wear them down quickly and that will be comfortable. The amount of retainer wear that's required following a person's active orthodontic once your braces are taken off, their natural reaction is to pull their teeth back toward their original location. How long does a person who has recently removed braces wear the thin metal wire on the inside part of yes, your teeth can be extracted after putting on braces. You may have to wear the braces for two years or more, depending on your situation. The question i get is, how long do i have to wear them? we ask patients to wear their retainer for three months. To be honest, in most cases, it if you have 4 teeth removed and we use that space to align the severely crooked teeth then the upper front. This may also work if your teeth aren't too crowded. How long will it take for braces to straighten your teeth?
It depends on the severity of your condition as well as. If crowding is severe enough that it's necessary to extract permanent teeth, orthodontic treatment time is usually between 18 and 24 months. When you get your braces off, your braces have moved your teeth in to a position where they are not naturally accustomed. How long do teeth hurt after braces are removed? Stay in place for an extended amount of time, and exert steady pressure.
How To Determine If You Need Braces With Pictures Wikihow from www.wikihow.com Every dental practice has different prices, and how long the braces need to stay on for depends on the current condition of your teeth. How do braces work for crowded teeth? It depends on the severity of your condition as well as. Fixed / permanent retainers —. Dental braces work by correcting the position of your teeth. I had to wear headgear at night for like a year, but at least they didn't have to break my jaw like they it felt like my teeth were being wrenched out of my face. Braces straighten teeth because they do two very important things: Deciding to wear braces to achieve straight teeth is something that needs careful consideration.
How long do you need to wear a retainer?
Dental braces work by correcting the position of your teeth. And what do you do if you think you need braces? My front tooth on the upper jaw is ever so slightly crooked, and i don't want to have to wear braces long if i get them. If your teeth are not crooked or crowded enough to need braces for realignment, veneers might be a. Braces create the tension to slowly move your teeth into alignment. But as mentioned earlier, the duration depends on the type of condition for them to be in their correct position, they will require more time and pressure, unlike baby teeth. I told my dentist i probably wont get braces because i don't want to wear them for a long period of time but i might depending on how long i have to wear them for. If crowding is severe enough that it's necessary to extract permanent teeth, orthodontic treatment time is usually between 18 and 24 months. It is best to wear a short sleeve top. As a result, adults can wear braces for up to three years. If you have an infection, or a weak immune system. For some patients, braces may have to be put on for a long time up to 2 to 3 years and for some other patient's the time. The downside is they typically will not work for very crooked or crowded teeth.